대상포진 초기증상 원인 알아보기
최근 일교차가 매우 커지면서 신체 적응력이나 면역력이 크게 떨어져 각종 질병에 노출된 분들이 급증하고 있습니다. 특히 호흡기질환은 환절기에 잦기때문에 이즈음 몸에 이상이 생기면 으레 감기로 여기기 쉬운데요.
온몸이 욱신대고 오한과 발열이 있어 감기가 온 것이라 생각하지만, 무조건 이러한 증상이라고해서 감기라고 할 수 없습니다. 다른 질환에 걸려도 감기와 유사한 증상이 나타나는데, 그 중 대표적인 질환이 바로 대상포진입니다.
대상포진은 몸의 수두-대상포진 바이러스가 활동을 재개하여 발병하게 됩니다.
주로 어린시절에 바이러스에 처음 감염되면 수두가 발병되고 치료가 된 후에도 바이러스는 척수에서 나오는 신경절이라는 부위에 숨어있습니다.
평소에는 몸의 면역력이 바이러서의 활동을 억제 할 수 있기 때문에 특별한 증상이 나타나지 않지만, 면역력이 저하되면 다시 활동을 증식하기 시작합니다.
그리고 바이러스는 신경의 흐름에 따라 신경절에서 피부로 이동하여 띠 모양으로 통증과 발진을 동반하며 대상포진으로 발병하게되죠.

대상포진 발병원인 및 과정
대상포진을 일으키는 바이러스(Varicella-zoster virus)는 어릴 때 수두의 원인이 되는 바이러스와 같은 것으로
수두가 치료된 후에도 이 바이러스가 사라지지않고, 우리 몸 속의 신경을 타고 척수 속에 오랜 기간 동안 숨어있다가 우리의 몸이 약해지거나 다른 질환으로 생체 내의 면역기능이 떨어져 있을 때 다시 활성화되어 이 병을 일으킵니다.
1. 수두 감염
어린시절 수두에 감염된 사람들의 대부분이 나중에 면역력이 저하가 되면 증상이 나타나기 시작하는데요. 처음에는 수두에 감염되어 발병하게 됩니다.
2. 잠복
수두 바이러스가 치료가 된 이후에도 오랫동안 체내(신경절)에 잠복하고 있으며, 평소에는 면역력에 의해서 활동이 억제되고 있습니다.
3. 면역력 저하
나이가 들어가면서 노화 혹은 스트레스등으로 면역력이 저하되면 바이러스가 다시 활발히 활동하기 시작합니다.
4. 대상포진 발병
면역력 저하로 바이러스는 신경을 따라 이동하여 피부에 도달하며 통증을 동반한 발진이 생기게 됩니다.

몸의 면역력은 노화, 피로, 스트레스등 누구나 겪게되는 지극히 일상적인것에 의해서 떨어지게 됩니다. 건강한 경우 면역력이 강하기 때문에 바이러스의 활동은 억제되어 있지만, 면역력이 저하됐을 때 다시 활동, 증식, 발병이 되는것이죠.
대상포진의 발병은 나이와 관계가 깊으며, 50대부터 발병률이 높아집니다. 50대, 60대, 70대, 80대까지 나이가 증가함에 따라서 발병률 또한 증가하며 3명중에 1명은 걸린다고 알려져있습니다.
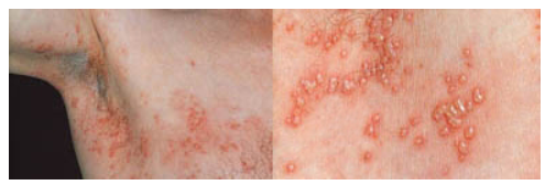
대상포진 초기증상
대상포진 초기증상 사진
발병되면 개인차가 있겠지만 대부분 처음에는 피부에 신경통과 같은 통증이 발생합니다. 통증은 피부 위화감이나 가려움, 저림등으로 느끼는 정도에서 매우 욱신거리고, 바늘에 찔리는듯하거나 불타는 고통까지 다양한 형태의 증상으로 나타납니다.

그 후, 물집과 함께 붉은 발진이 띠 모양으로 나타나 점차 통증이 강해지고 잠을 잘 수 없을정도로 아프며, 강한 통증과 피부의 증상은 주로 몸의 좌우 중 한곳에 나타나 3~4주정도 지속됩니다.
대상포진의 발병 신체 부위
증상은 신경의 흐름에 따라 나타나는 것으로 주로 몸의 좌 혹은 우측 중 하나에 띠모양으로 나타납니다. 주로 팔이나 가슴등 상체에 많이 발생하는 편이며, 얼굴과 목등 외모가 신경쓰이는 부분에 나타날 수 있습니다.
한 통계에 따르면 얼굴은 17.6%, 목 14.5%, 가슴 31.2%, 하복부 19.6%, 다리 17.1%로 나타납니다.
심해지기전에 치료를 시작하는 것이 중요하다
발진이나 물집등은 치료를 하지 않아도 자연스럽게 낫는 경우도 있지만, 치료가 늦어지거나 방치되면 두통이나 39도 이상의 발열등 전신에 증상이 나타나기도 합니다. 특히나 목위로 얼굴에 발생하는 경우에는 심한경우 실명이나 안면 마비, 난청을 일으킬 수 있습니다.
발진이 사라진 후에도 통증이 남아있을 수 있기 때문에 가능한 빨리 의료기관을 방문하여 진찰하고 치료를 시작하는 것이 중요합니다.
초기증상을 간과하고 치료가 늦어지는 경우를 조심
대상포진의 치료가 길어지거나 피부증상이 치료후에도 통증이 장기간 남아 있다면 치료의 지연이 발생할 수 있습니다. 처음에 엄청난 고통(욱신, 신경통, 뜨거움)을 느끼고, 그 후 물집 발진이 일어나는 것이 특징이죠.
그러나 초기증상인 통증의 사고방식은 환자에 따라서 다양하게 나타나며 그중에는 그다지 통증을 느끼지 못하며 살짝 가렵고, 조금 위화감이 있다고 느끼는 경우도 있습니다.
대상포진이라고 눈치채지 못하고 치료가 지연 될 경우에는 피부증상이 가라 앉은 후에도 장기간 통증이 남아 신경통(PHN)이 될 가능성이 높아지므로 의심이 든다면 최대한 빨리 의료기관을 찾아 방문하여 진찰하고 치료를 시작하는 것이 무엇보다 중요합니다.
대상포진 초기증상 요약
발병후 1일차 / 발병후 2일차

1. 피부의 가려움증
2. 평소와 다른 피부의 위화감을 느낌
3. 두통이 낫지 않는다
4. 나른하고 망상이 계속 된다
5. 피부의 적색
6. 몸의 한쪽만 아푸고 가렵다
7. 피부의 통증이 계속된다
치료가 늦어져서 중증화되면 후유증이 있는 무서운 병이며 빨리 항 바이러스 약물로 치료하는 것이 무엇보다 중요합니다. 위의 초기증상을 확인후 의심이 든다면 빨리 치료를 시작해야합니다.
대상포진 치료
대상포진 치료는 수포 발생 3일~5일 이내에 항바이러스제를 일주일 정도 주사하면 대부분 완치되며, 동시에 진통제 등을 투여하는 경우도 있습니다. 그러나 치료 시작이 늦거나 고령인 경우 또는 암이 있는 경우에는 주사치료 후에도 통증이 계속될 수 있습니다.
이 기간은 환자의 상태에 따라 다르지만 한 달에서 일 년 정도이며 경우에 따라서는 더 오래 지속될 수 있습니다. 단, 항바이러스제는 거의 전체의 약이 신장을 통해 배설되기때문에 신부전증 등의 환자에서는 약제의 용량을 조절해야합니다.
대상포진 환자를 접촉했다고해서 이 병이 전염되지는 않지만, 이전에 수두를 앓은 경험이 없는 사람, 혹은 어린이나 병원에 입원 중인 환자에게는 질환을 유발시킬 수 있으므로 격리하는 것이 좋습니다. 이 질환이 한 번 발생했다고 면역이 생기는 것은 아니며 다시 생길 가능성도 있지만 재발율은 0.1~1%정도에 불과합니다.
주사를 들고 있는 모습
대상포진을 가장 효과적으로 예방할 수 있는 방법은 백신접종입니다. 백신은 어릴 때 수두에 걸린 이후 몸 속에 잠복해있던 바이러스가 다시 활성화되는 것을 예방하며 50대 이상 성인이 접종 대상입니다.
50대의 예방효과는 70%, 60대 이상은 51%로 알려져 있으며, 하지만 물량이 부족해 국내에서는 11월부터 본격적으로 공급될 예정입니다.
이미 대상포진에 걸렸던 사람은 예방접종을 굳이 할 필요가 없지만, 대상포진 백신이 나온지 얼마 안 돼 의학적 효과나 부작용 등에 대해서는 좀 더 지켜봐야한다는 의견이 나오고 있습니다.
면역력 저하와 함께 우리에게 찾아오는 다양한 질환들,
우리 몸의 소리에 귀를 기울이고 적극적으로 예방 및 치료에 임하는 자세가 필요하겠죠?
'건강' 카테고리의 다른 글
| 심뇌혈관질환’ 생활 예방법 (0) | 2019.12.07 |
|---|---|
| 당뇨병 관리/혈당 낮추는 좋은 식품 (0) | 2019.11.25 |
| 술로인해 나빠진"간"에 이로운 좋은 음식 꼭 챙겨 먹자 (0) | 2019.08.31 |
| 건강한 삶 장수를 위한 12가지 건강 팁 (0) | 2019.08.15 |
| 잠자기전 커피는 수면에 괜챦을까? (0) | 2019.08.15 |